Docteur TODOSIU Teodora
Orthodontiste à Montivilliers
Appeler
Accueil
Le cabinet
L'équipe
Infos pratiques
Honoraires
Votre orthodontiste
Questionnaire médical
Questionnaire médical adulte
Questionnaire médical enfant
Espace pédagogique
Fiches conseil
Vidéos
Urgences
Contact
4 rue Raoul Dufy, 76290 Montivilliers
Disponible aujourd'hui de 8h30 à 12h30
Contacter le cabinet
02 35 30 40 40
Afficher le téléphone
Accueil
Le cabinet
L'équipe
Infos pratiques
Honoraires
Votre orthodontiste
Questionnaire médical
Questionnaire médical adulte
Questionnaire médical enfant
Espace pédagogique
Fiches conseil
Vidéos
Urgences
Contact
Vidéos 3D du cabinet Raoul Dufy, à Montivilliers
Vidéos 3D
Traitement orthodontique : les règles du succès
Vidéos 3D
le 17/07/25
⟶
Contention de hawley
Vidéos 3D
le 17/07/25
⟶
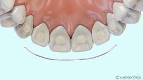
Fil de contention
Vidéos 3D
le 17/07/25
⟶
Accueil
Votre orthodontiste
Honoraires
Infos pratiques
Urgences
©2025 Docteur TODOSIU Teodora - Orthodontiste
Plan du site
Mentions légales
CGU
Création par
Connexion
Vidéo en cours de lecture